Dr. Derek Gatta, DMD, is a Board-Certified Prosthodontist and the co-founder of RiseWell, an all-natural, science-backed oral care brand that is revolutionizing the industry with its dentist-formulated, non-toxic products. Derek is dedicated to promoting a healthy lifestyle and believes that optimal oral health is vital to achieving this.

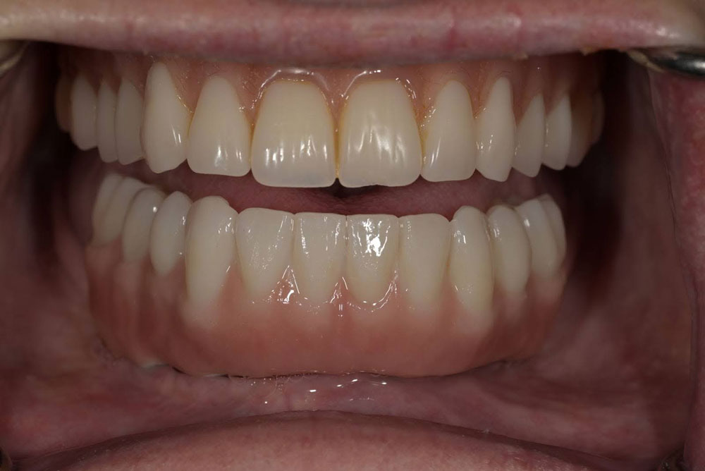
All-on-X is a permanent, full-arch restoration that supports a complete set of teeth using 4 to 8 implants. Unlike dentures that shift and rub, these implants stay firmly in place so you can eat, laugh, and speak naturally again.
Whether you’re dealing with extensive tooth loss, failing teeth, or uncomfortable dentures, All-on-X dental implants provide a stable, natural-looking solution that changes lives.
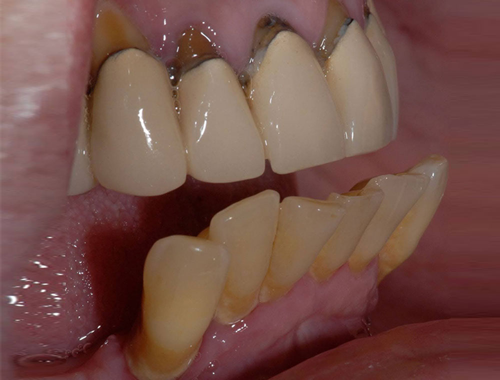
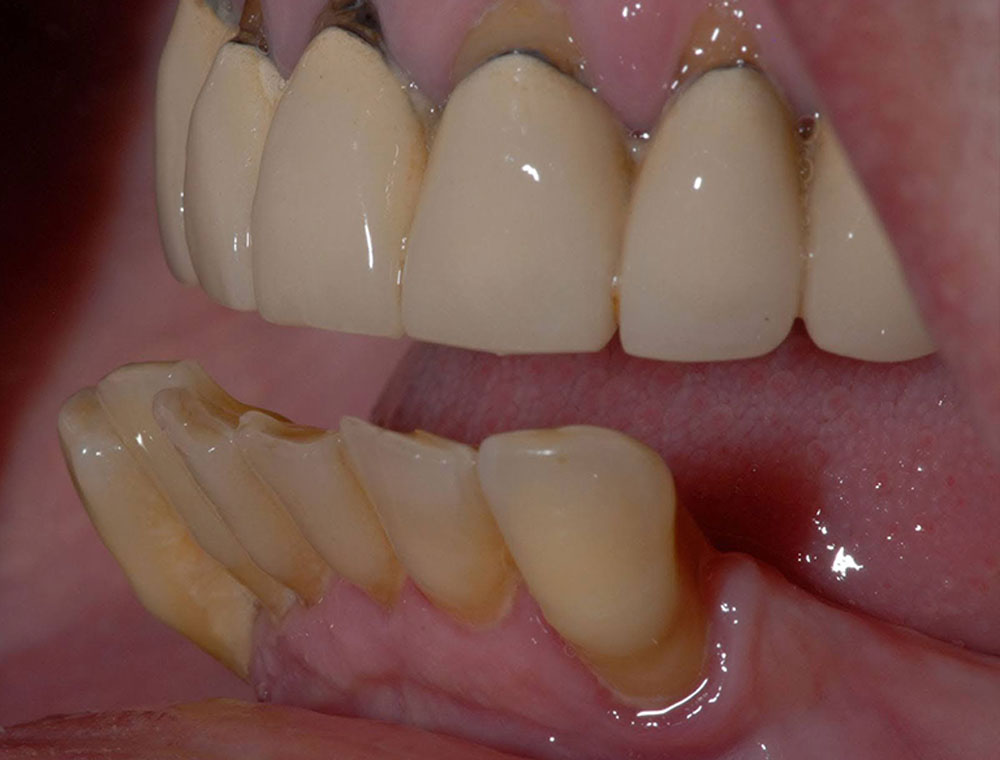
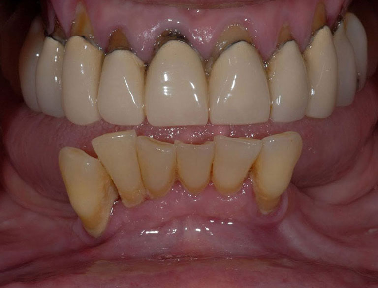
Missing teeth can lead to bone resorption, compromising facial structure and accelerating the aging process. Additionally, impaired occlusion and bite function can strain the temporomandibular joint (TMJ), causing pain and discomfort. Timely tooth replacement is crucial to preserving oral health, preventing further complications, and maintaining a balanced bite. Do you have missing teeth? Contact us for a solution.
(561) 997-6622 | InnovativeDentalAesthetics.com
As a board-certified prosthodontist with decades of experience, Dr. Gatta specializes in full-mouth restorations and advanced implant procedures. With an on-site dental lab, 3D imaging, and minimally invasive techniques, he delivers faster, more precise results and same-day smiles for qualifying patients.
Your journey begins with a detailed consultation where Dr. Gatta conducts a full examination, takes 3D scans, and designs a treatment plan built around your needs. During a single appointment, the implants are strategically placed—often with temporary teeth attached the same day. Over the following months, the implants naturally bond with your jawbone. Once healing is complete, your permanent, custom-designed teeth are attached, crafted in Dr. Gatta’s on-site lab for a precise, lifelike result.
All-on-X dental implants are ideal for patients missing most or all teeth, dealing with loose dentures, or looking for a lasting alternative to removable options. Even if you’ve experienced bone loss, advanced techniques like bone grafting or zygomatic implants can often make treatment possible.
The cost of All-on-X varies depending on your individual needs, such as the number of implants and materials used. During your consultation, Dr. Gatta will provide a transparent, personalized treatment plan and discuss flexible financing options to make your new smile a reality.
With proper care, they can last decades—often a lifetime.
You’ll be fully numbed and can choose sedation. Most patients describe only mild soreness afterward.
Many patients do. Dr. Gatta can attach a temporary set of teeth immediately after surgery.
Most patients return to normal routines in a few days, sticking to soft foods while healing.
Yes, if you have missing or failing teeth, loose dentures, and good oral health or bone support.
Often yes, Dr. Gatta uses advanced techniques like bone grafting or zygomatic implants.
They eat freely, smile confidently, speak clearly, and feel younger and more self-assured.
Costs vary due to factors like the number of implants needed or the materials to be used for your final teeth, but Dr. Gatta provides transparent pricing and financing during your consultation.



Schedule your All-on-X consultation with Dr. Derek Gatta today. Call Innovative Dental Aesthetics in Boca Raton or book online to start your transformation.
